最新【无症状感染不通报/无症状感染者不发现会怎么样】 澎湃新闻7月2日,网络平台出现网红面包店BUTTERFUL&CREAMOROUS黄油与面包广州首店(地址:天环广场一层)致多位顾客不适的信息,引发消费者对食品安全问题的担忧天河区市场监管局高度重视,立即组织执法人员对... 龙腾生活问答2026-01-265 阅读0 评论
最新【无症状感染接触隔离/无症状感染者隔离完之后就好了吗】 近日,湖南省第二人民医院(省脑科医院)消化内科副主任医师全养雅在门诊接诊到一家三口,先后出现了发热、腹泻、呕吐等症状,经详细询问病史、体格检查后,初步考虑可能是感染了诺如病毒经检查,印证了医生的判断,这些症状的出现果... 龙腾作者专栏2026-01-264 阅读0 评论
最新无症状感染者是免疫力强还是弱(无症状感染者21) 来源:威海发布 11月28日0时至24时,威海市新增本土确诊病例4例、新增本土无症状感染者21例其中,环翠区9例,文登区1例,荣成市1例,乳山市6例,经开区8例;集中隔离点检出14例,居家隔离检出4例,重点人员筛查检... 龙腾新闻资讯2026-01-265 阅读0 评论
最新河南洛阳发现4名无症状感染者/洛阳新增1例肺炎病例 记者31日从河南省洛阳市新安县新冠肺炎疫情防控指挥部获悉,当地31日发现4名新冠肺炎无症状感染者31日,新安县人民医院在例行核酸检测中发现2名新冠肺炎无症状感染者新安县立即启动应急机制,后续又发现2名无症状感染者。 ... 龙腾环球视野2026-01-265 阅读0 评论
最新【无症状感染接触隔离/无症状患者隔离】 西孟加拉邦巴拉萨特地区确诊五例尼帕病毒感染病例,近100人被要求居家隔离,卫生部门正加强防控和监测工作在加尔各答郊外城镇巴拉萨特及周边地区确认出现五例高度危险的尼帕病毒感染病例后,西孟加拉邦的卫生系统已进入高度戒备状... 龙腾新闻资讯2026-01-267 阅读0 评论
最新无症状感染者公布(无症状感染病例通报) 2026年1月26日,印度西孟加拉邦尼帕病毒疫情持续发酵,已确诊5例感染病例,其中4名为医护人员,证实存在人传人院内传播风险,1例患者病情危重,近百名密切接触者被紧急隔离这一高致死率病毒的扩散,迅速引发周边国家高度警... 龙腾作者专栏2026-01-266 阅读0 评论
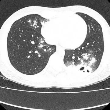
最新广州最新无症状感染:广州无症状感染者公布 近日广州30岁的夏女士(化名)因持续干咳一周到医院就诊胸部CT显示其双肺多发感染伴多发空洞形成被收入呼吸与危重医学科住院治疗医生查房时,捕捉到CT上形似“鬼脸”的特殊影像(即“鬼脸征”),并伴有“晕轮征”,高度怀疑隐... 龙腾环球视野2026-01-267 阅读0 评论
最新【无症状感染多吗/无症状感染者的比例高达17%】 “医生,我身体没任何不舒服,怎么会查出HPV阳性?”这是临床中最常听到的疑问之一人乳头瘤病毒(HPV)感染的狡猾之处,就在于多数情况下“悄无声息”,但低危型与高危型感染仍会留下细微线索,读懂这些信号能帮我们早发现、早... 龙腾生活问答2026-01-266 阅读0 评论
最新上海新增本土无症状感染者3例/上海疫情无症状 中新网9月19日电 据上海卫健委微信公众号消息,2022年9月18日0—24时,上海市无新增本土新冠肺炎确诊病例,新增本土无症状感染者3例,其中2例无症状感染者在隔离管控中发现新增境外输入性新冠肺炎确诊病例11例和无... 龙腾环球视野2026-01-265 阅读0 评论
最新疾控中心回应无症状感染者传播力/无症状患者传染率有多大 来源:【大河健康报】1月7日,中国疾控中心发文提醒,门急诊流感样病例中鼻病毒检测阳性率有所上升,在南方个别省份甚至超过呼吸道合胞病毒,仅次于流感病毒这表明当前除流感病毒外,鼻病毒是导致呼吸道症状的主要病原体之一。 鼻... 龙腾作者专栏2026-01-266 阅读0 评论